Goldimplantation – minimalinvasive Goldtherapie gegen Gelenkschmerzen & Arthrose

Die Goldimplantation hemmt Entzündungen direkt im betroffenen Gelenk und lindert chronische Schmerzen – ambulant, schonend und ohne Dauermedikation.

Was ist die Goldimplantation und wie wirkt sie?

Mit einem kleinen Eingriff in örtlicher Betäubung setze ich zwei Millimeter lange Goldsegmente (24 Karat) rund um das betroffene Gelenk. Dort entfalten sie ihre entzündungshemmende Wirkung direkt am Ursprungsort der Beschwerden. Sie unterstützen die Regeneration und können Schmerzen durch Arthrose oder Gelenkentzündungen nachhaltig verringern. Eine Reha-Behandlung ist nicht erforderlich.

Wie wirkt das Gold im Körper?

Schonende Alternative zur Operation

Minimal-invasive Goldimplantation ohne Vollnarkose, Anschlussbehandlung oder Reha.

Gezielte Wirkung am Gelenk

Wirkt direkt und ausschließlich dort, wo Sie unter Schmerzen leiden – auch im Rücken.

Ambulante Therapie ohne Antibiotika

Keine Antibiotikagabe, dadurch geringeres Risiko von Resistenzen.

Hervorragende Verträglichkeit

Keine bekannten Allergien auf reines Gold, praktisch nebenwirkungsfrei.

Für alle Altersgruppen geeignet

Besonders geeignet für ältere Patient:innen, die ein Operationsrisiko vermeiden möchten.

Einsatzgebiete der Goldimplantation

Die Goldimplantation ist Ihre sanfte Alternative bei Arthrose und Gelenkschmerzen – für alle großen und kleinen Gelenke, von Knie über Rücken bis zu Händen und Füßen. Ambulant, ohne Vollnarkose oder aufwendige Reha, ideal auch bei hohem OP-Risiko.

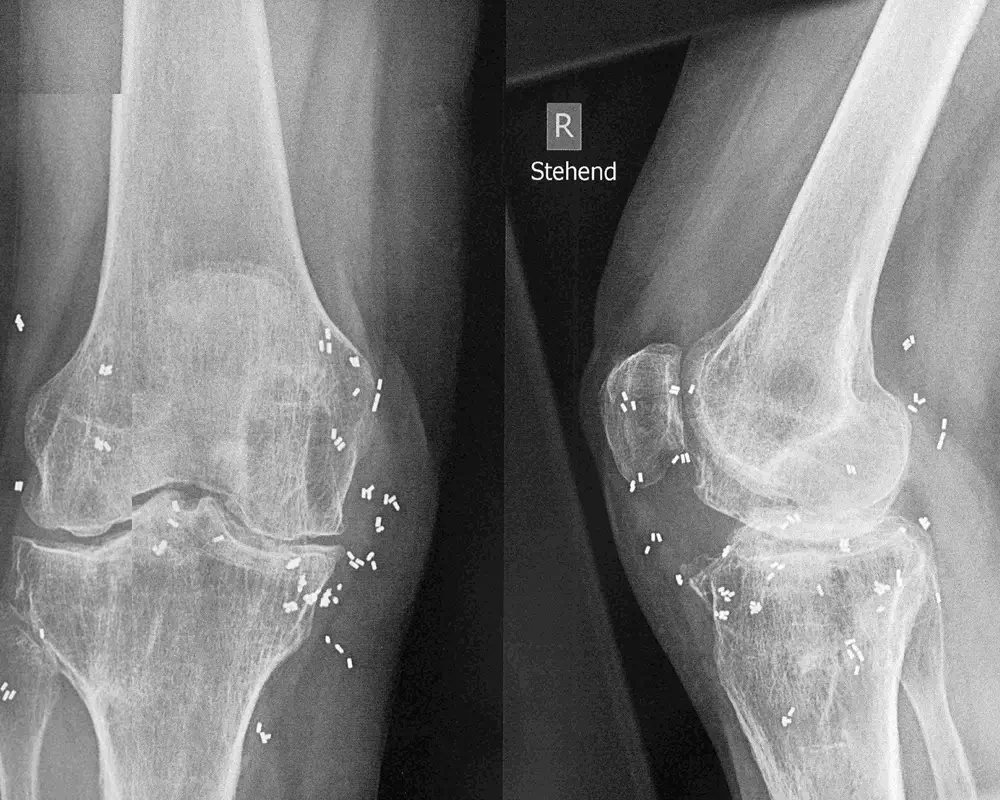
Kniegelenke

Gezielte Entzündungshemmung für mehr Stabilität und Mobilität.

Hüftgelenke

Lindert Hüftschmerzen und fördert schmerzfreie Bewegungsabläufe.

Rücken (Wirbelsäule)

Reduziert Wirbelsäulenbeschwerden und unterstützt die Gewebe­regeneration.

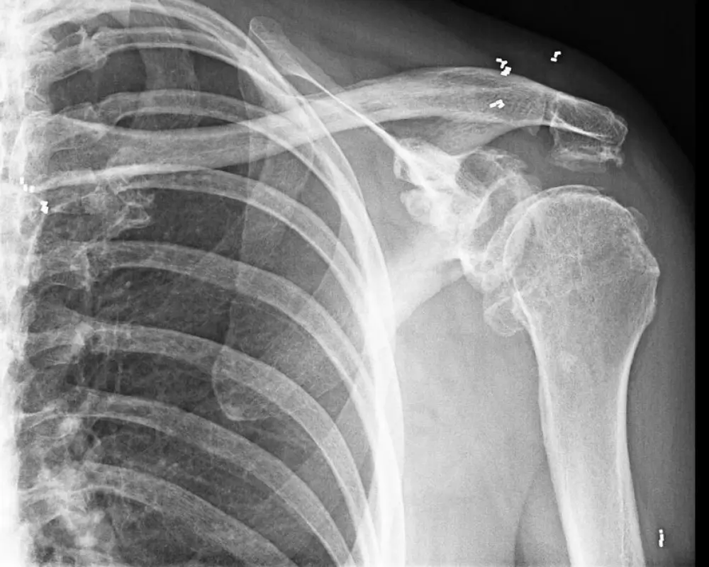
Schultergelenke

Verbessert Gelenkfunktion und mindert chronische Entzündungen.

Finger- & Zehengelenke

Mildert Gelenkschmerzen für präzise und schmerzfreie Feinmotorik.

Behandlung & Ablauf der Goldimplantation

Erfahren Sie, wie die minimal-invasive Goldimplantation unter lokaler Betäubung durchgeführt wird und welche Schritte von Diagnostik bis Nachsorge für eine schnelle Rückkehr in den Alltag sorgen.

Nach ausführlicher Diagnostik und Beratung werden unter lokaler Betäubung winzige 1–2 mm lange Segmente aus 24-karätigem Golddraht mit einer Hohlnadel rund um das betroffene Gelenk implantiert. Die Goldstücke verbleiben dauerhaft außen an der Gelenkkapsel, wandern nicht und entfalten dort ihre entzündungshemmende Wirkung – ganz ohne Gelenkoperation, Nachoperationen oder Antibiotika­therapie.

Direkt nach dem Eingriff können Sie die Praxis verlassen und das behandelte Gelenk normal belasten. Autofahren ist aufgrund der Lokalanästhesie nur mit Begleitung möglich. Vorübergehende Punktionsschmerzen oder kleine Blutergüsse sind selten und gut mit leichten Schmerzmitteln behandelbar. Eine spezielle Schonung oder Reha ist nicht erforderlich – Mobilität und Alltagstauglichkeit kehren schnell zurück.

Sie erhalten eine spezifizierte GOÄ-Rechnung mit aussagefähiger Diagnose, die Privatpatienten bei ihrer privaten Krankenkasse vorlegen können. Doch auch private Kassen übernehmen nur sehr selten Kosten für die Goldimplantation! Der Betrag für den Eingriff ist nach erfolgter Implantation zahlbar vor Ort. Wir akzeptieren vorzugsweise Debitkarte (früher EC-Karte). Eine Barzahlung ist nicht möglich. Für detaillierte Preisinformationen kontaktieren Sie uns gerne direkt.

Kostenfreies Erstgespräch

Erfahren Sie in einem unverbindlichen Erstgespräch, wie die Goldimplantation gezielt Ihre Gelenkschmerzen lindert. Profitieren Sie von der persönlichen Beratung durch Dr. Endrizzi – vor Ort oder bequem per Video-Chat. Starten Sie noch heute Ihren Weg zurück zu mehr Mobilität und Lebensqualität.

Ihre Anfrage wird selbstverständlich vertraulich behandelt. Alle Daten dienen ausschließlich dazu, Ihnen bestmöglich weiterzuhelfen. Wir freuen uns darauf, von Ihnen zu hören!

Datenschutzhinweise*